Fotografías
Actividad academicA - AÑO 2012
 
Los casos presentados en esta sección fueron realizados por los cursantes en las distintas especialidades

ODONTOLOGÍA INTEGRAL: BEBES, NIÑOS Y ADOLESCENTES DE DOS AÑOS DE DURACIÓN DICTADO POR LA PROFESORA DRA. GABRIELA QUINTERO LUCAS
Caries profunda en 7.5 Recubrimiento pulpar indirecto en 7.5
Caries penetrante en 7.4 y profunda en 7.5 Pulpotomía en 7.4 y pulpectomía en 7.5”
Absceso en 8.5 Pulpectomía en 8.5”
Traumatismos en Dentición Primaria
Sobreretención de 5.1 y 6.1 por trauma Extracciones de 5.1 y 6.1
Lesión traumática extraoral Trauma labial e intrusión dentaria 6.1
Traumatsmo dentario en 5.1 Restauración con corona de acetato
Periodontitis Temprana Localizada
Aspecto clínico inicial 14 días post tratamiento
Marcada pérdida ósea en 4.5, 4.6 y 4.7 Aspecto clínico de 4.5 y 4.6
CURSANTES ATENDIENDO PACIENTES



INTEGRAL OPERATORIA DENTAL ESTÉTICA: CURSO DICTADO POR EL DR. LORENZO PABLO NOVERO.
Dr. Novero preparando el teórico Dr. Novero con cursantes
Casos Clínicos
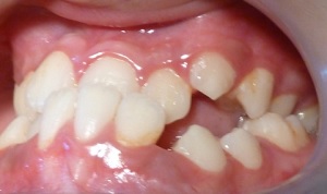
Traumatismo de 1.1 y 2,1 Reconstrucción Dentaria
Cavidad mesiooclusal en 3.6 Restauración 3.6, sellador 3.5
CURSANTES ATENDIENDO PACIENTES
EL DR. NOVERO CON CURSANTES MOSTRANDO LOS DIPLOMAS QUE ACREDITAN APROBACIÓN DEL CURSO



CURSO INTEGRAL DE ORTOPEDIA FUNCIONAL Y ORTODONCIA INTERCEPTIVA DICTADO POR LAS DRAS. ALICIA ARIAS DE CORSI Y ANA IVARS DE PEÓN DOS AÑOS DE DURACIÓN. DOSCIENTAS HORAS CLASE PRESENCIALES
CLASE III Mordida Cruzada Anterior y Posterior
Pre-Tratamiento
Plano Inclinado - Disyunción – Máscara (7 meses)
Desarrollo de actividades clínicas y talleres
Almuerzo de camaraderia: Cursantes y Docentes


CIRUGÍA CON FINALIDAD IMPLANTOLÓGICA DICTADO POR EL DR. ERNESTO PASTORI. DOS AÑOS DE DURACIÓN
Elevación del piso sinusal e injerto autólogo yuxtaóseo vestibular para corregir la neumatización sinusal con auto injerto yuxtaóseo, para optimizar la cortical vestibular
Area preoperatoria Observar neumatización del seno
Trepanando el injerto para su fijación Injerto fijado y elevación del piso del seno
Dos paralelizadores previa colocación de los implantes Implantes colocados con su tapa cierre
Implantes rehabilitados con sus respectivas coronas definitivas
Observar el correcto paralelismo y adecuada óseo-integración, 17 meses pos-implantación
Discusión de casos clínicos con el Dr. Pastori


COMENTARIOS EXPRESADOS POR LOS CURSANTES EN EL FORMULARIO DE EVALUACIÓN COMPLETADO AL FINAL DEL CURSO

Los comentarios reflejan pura y exclusivamente las expresiones de conformidad respecto a la calidad científica-académica del material brindado por los Dictantes y la opinión de los Cursantes al respecto.

Curso Integral Bebes Niños y Adolescentes – Dra. Gabriela Quintero Lucas
“El curso me enseño muchísimo. Aprendí muchas técnicas que aplico día a día y obtengo excelentes resultados”. “Nos dan la seguridad que necesitamos, la práctica es muy buena, los docentes tienen paciencia y pasión por lo que hacen”. “Excelentes docentes, muy buenas personas y con las mejores predisposiciones para explicar”. “Siento que salgo “llena” de nuevos conocimientos, de autoestima y confianza”.

Curso de Implantología. Dr. Ernesto PASTORI
““Me ayudó a saber resolver problemas que pueden ir surgiendo”. Las mejores facetas del curso son: “Las charlas con el Dr. Pastori y las cirugías. La predisposición para enseñar de parte de los dictantes. “Me ayudó a saber encontrar la forma de resolver las dificultades. La interacción académica docentes-cursantes es excelente”.

Curso de Operatoria Dental Estética - Dr. Lorenzo P. Novero
“Excelente curso y dictantes, lo aprendido más la práctica fueron muy lindos, lástima que fue de corta duración”. “Muy lindo curso. Los dictantes tienen mucho conocimiento y los transmiten muy bien a los alumnos. La actualización de los contenidos nos permiten incorporar al Consultorio los conocimientos”. Las mejores facetas del curso son: “Los datos actualizados. Todo. Presentación de materiales. Predisposición de los dictantes para aclarar dudas. El trabajo en la Clínica. La clínica con pacientes”.


Fundacion Escuela Posgrado • Tel. (0362) 4433638
: : : Ildefonzo Perez 450 • Resistencia • Chaco : : :