Fotografías
Actividad academicA - AÑO 2011
 
Los casos presentados en esta sección fueron realizados por los cursantes en las distintas especialidades

CURSO DICTADO POR EL PROFESOR DOCTOR PABLO LORENZO NOVERO SOBRE OPERATORIA ESTETICA INTEGRAL DE 100 HRS CLASE PRESENCIALES
Cursantes trabajando El Dr Novero demostrando
Cursantes en la Clínica Durante un “workshop”


CURSO DE CIRUGÍA CON FINALIDAD IMPLANTOLÓGICA DICTADO POR EL PROF. Dr. ERNESTO PASTORI. DOS AÑOS DE DURACIÓN
Área receptora de injerto óseo autólogo Área donante
Implante autólogo fijado en posición Colgajo reposicionado en área quirúrgica con suturas individuales
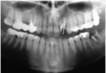
Vista preoperatorio del diente 22 a tratar Radiografía Panorámica
Elevación del colgajo Exposición del área quirúrgica
Área potsextracción del diente comprometido Espécimen obtenido
Área donante de hueso autólogo a colocar en área previa a implantar Se observan las áreas receptora y donante del injerto óseo autólogo
Colgajo reposicionado con sutura individuales Área tratada, dos semanas post cirugía
RADIOGRAFÍAS EN DISTINTAS ETAPAS DE IMPLANTACIÓN
Pre-Implante Inmediato post-implantes
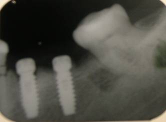
Implantes óseo integrados, a los 17 meses
RADIOGRAFÍA PANORÁMICA
Paciente implantado con coronas provisorias en el maxilar superior


CURSO INTEGRAL DE ORTOPEDIA FUNCIONAL DE LOS MAXILARES DICTADO POR LAS DRAS ALICIA ARIAS DE CORSI Y ANA IVARS DE PEON. DOS AÑOS DE DURACIÓN. DOSCIENTAS HORAS CLASE PRESÉNCIALES
CIRUGÍA Y ORTODONCIA: Liberación de caninos retenidos
Radiografías pre-operatorias
Cementado de botones con alambre de tracción Colgajo reposisonado con suturas individuales
TRATAMIENTO CLASE II PRIMERA DIVISIÓN
Radigrafía lateral pretratamiento Estudio Cefalométrico
APARATOLOGÍA: ACTIVADOR ABIERTO ELÁSTICO DE KLAMNT
TRABAJO SOBRE TYPODONT
MORDIDA CRUZADA ANTERIOR
Inicial Placas con Resortes Frontales
Placa en boca Final


ODONTOLOGÍA INTEGRAL: BEBES, NIÑOS Y ADOLESCENTES DE DOS AÑOS DE DURACIÓN DICTADOPOR LA PROFESORA Dra. GABRIELA QUINTERO LUCAS
Ambientación del Niño previo al tratamiento
El Niño con su Abuela
Dientes anteriores tratados con ionómeros vítreos modificado con resinas
Inicial
Final
Coronas de acero preparadas Dientes restaurados con las coronas de acero
Mantenedores de Espacio
Fijo Removible


CURSO INTENSIVO EN ENDODONCIA CLÍNICA DICTADOS POR LOS Dres. Nicolás PADULLI y Alejandro LEONHART - CINCO SESIONEsS DE CIEN HORAS - CLASE PRESENCIALES
Tratamiento de Conductos Realizados por los Cursantes
Inicial - Conductometría - Final
Inicial - Conductometría - Final
Inicial - Conductometría - Final
Inicial - Conductometría - Final
Inicial Final


COMENTARIOS EXPRESADOS POR LOS CURSANTES EN EL FORMULARIO DE EVALUACIÓN COMPLETADO AL FINAL DEL CURSO

Los comentarios reflejan pura y exclusivamente las expresiones de conformidad respecto a la calidad científica-académica del material brindado por los Dictantes y la opinión de los Cursantes al respecto.

Curso de Operatoria Estética Integral. Dr L. P. NOVERO
“El Dr. Novero tuvo siempre muy buena predisposición para responder consultas y ayudarnos en las clínicas”. “Excelente forma de trabajo” “El curso fue bueno, cumplió con mis expectativas”. “El Dr. Novero: excelente profesional y persona” “El curso en sí muy interesante y en cuanto al dictante fue un placer compartir los conocimientos que me serán muy útiles en la práctica” “Fue un experiencia muy linda y me gusto haber conocido al Dr. Novero y que haya podido transmitir sus conocimientos e investigaciones. Es un buen ejemplo de profesional ” “Lo que puedo comentar es que es un buen curso y sobre todo resalto la tranquilidad, la calidez con que se trabaja y se pasa un buen momento” Respecto a las mejores facetas del curso expresaron “Fueron la parte práctica y la tranquilidad en teóricos” “En la parte clínica” “Teorías y prácticos” “La disponibilidad del dictante y la tranquilidad a la hora de enseñar” “Experiencias prácticas”.-

Curso de Implantología. Dr. Ernesto PASTORI
“Lo que más rescato del curso son las técnicas utilizadas, como ser el uso de injertos del mismo paciente etc ..”. El Dr. Pastori explica muy bien, tiene mucho conocimiento de la materia que nos trasmite sin egoísmo”. “Me gusto mucho el curso, vi cosas muy interesantes como el desplazamiento del nervio dentario inferior, levantamiento de piso de seno, etc”. “Muy destacable la generosidad de la enseñanaza del Dr. Pastori”. “No tengo quejas”. Respecto a las mejores facetas del curso: “La práctica realizada”. “Es de mucho valor la observación y trabajo con pacientes”. “En la clínica se ven muchas cosas y se aprende a diagnosticar”. “La práctica en clínica”.

Curso Endodoncia Integral. Dres. N. PADULLI y A. LEONHART
“Excelente experiencia” “Una experiencia muy grata y satisfactoria” “Muy bueno y práctico” “Muy a gusto hacen sentir”. “La dedicación, paciencia y esmero por enseñar, aprendimos muchísimo y nos hicieron tener confianza en nosotros mismo en los trabajos a realizar. Nos sentimos muy bien durante todo el curso”. “Nos apoyaron , confiaron en nosotros y eso nos brindo seguridad y confianza a la hora de trabajar”.

Curso de Rehabilitación Oral. Dr. M. IBARRA
“Muy didáctico, y con contenidos claros” “Muy interactivas las clases” “Positivo porque pude adquirir nuevos conocimientos” “El curso cumplió con mis expectativas, me brindo nuevos conocimientos teóricos y clínicos, que me va a servir desempeñarme mejor” “Muy bueno, me hubiera gustado que dure más clases”

Curso Ortopedia. Dras. Alicia ARIAS y Ana IVARS
“Muy bien, excelente contenido, excelente interacción y predisposición de las Dras.”. “Agradecimiento a las profesoras por su buena predisposición siempre para enseñar y ayudar”. “Estoy muy conforme”. “Integración clínica-teóricos”. “Los pacientes brindados por el curso”. “La integración de la clínica con lo teórico desde el principio”.


Fundacion Escuela Posgrado • Tel. (0362) 4433638
: : : Ildefonzo Perez 450 • Resistencia • Chaco : : :